Implanty zębów w Lublinie to rozwiązanie, które zyskuje coraz większą popularność wśród osób borykających się z problemem brakujących zębów. Korzyści płynące z ich zastosowania są liczne i różnorodne. Przede wszystkim, implanty zębów pozwalają na przywrócenie pełnej funkcjonalności jamy ustnej, co przekłada się na komfort podczas jedzenia oraz mówienia. Dzięki nim można uniknąć wielu problemów zdrowotnych związanych z brakiem zębów, takich jak przesunięcia pozostałych zębów czy problemy ze stawami skroniowo-żuchwowymi. Kolejnym atutem jest estetyka – implanty wyglądają jak naturalne zęby, co wpływa na pewność siebie pacjentów i ich samopoczucie. Co więcej, implanty są trwałe i przy odpowiedniej pielęgnacji mogą służyć przez wiele lat, a nawet całe życie.
Jak wygląda proces zakupu implantów zębów w Lublinie

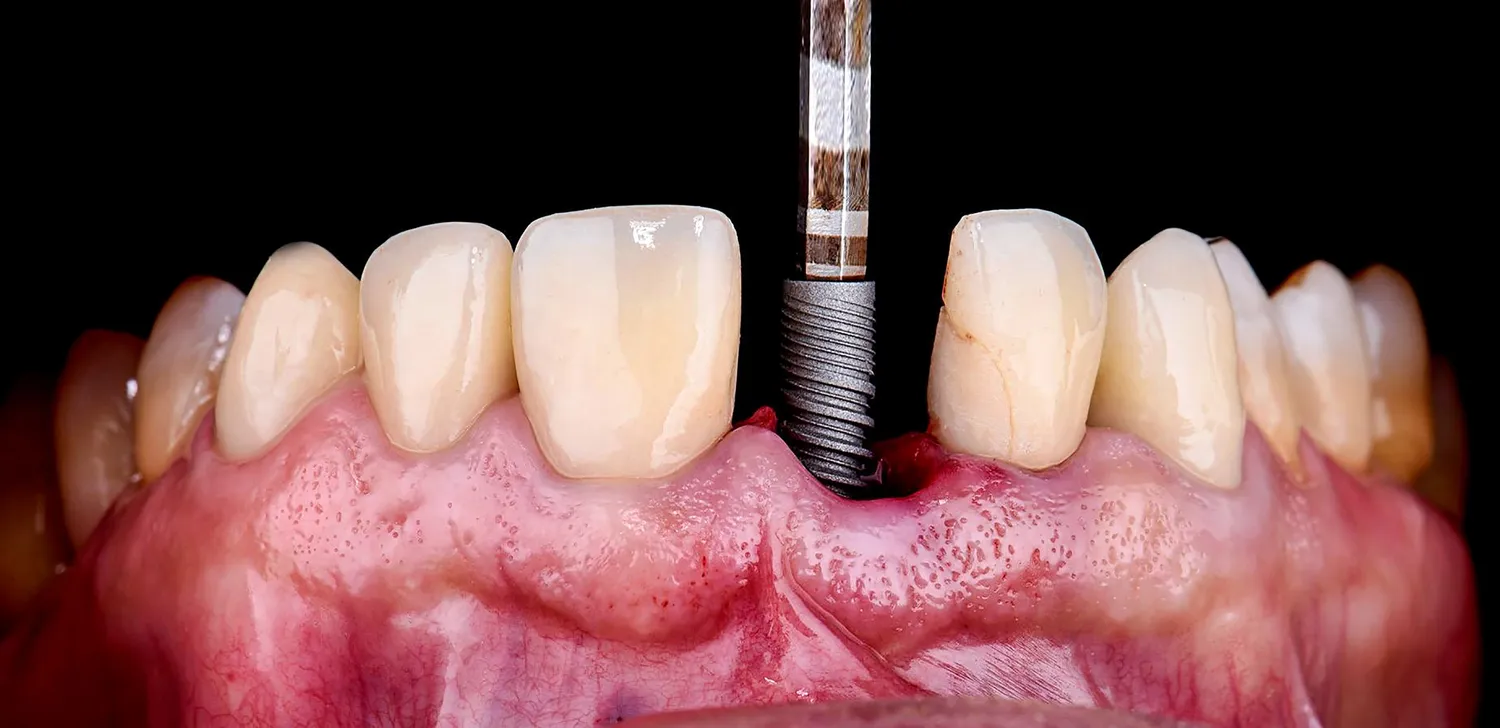
Proces zakupu implantów zębów w Lublinie rozpoczyna się od wizyty u stomatologa, który przeprowadza szczegółową diagnostykę. W trakcie pierwszej konsultacji lekarz ocenia stan uzębienia pacjenta oraz ogólny stan zdrowia, co jest kluczowe dla podjęcia decyzji o wszczepieniu implantu. Po wykonaniu niezbędnych badań, takich jak zdjęcia rentgenowskie czy tomografia komputerowa, lekarz może zaplanować odpowiednią procedurę. Następnie następuje etap wszczepienia implantu, który polega na umieszczeniu tytanowego wszczepu w kości szczęki lub żuchwy. Po tym etapie konieczny jest czas gojenia, który może trwać od kilku tygodni do kilku miesięcy. W tym czasie implant integruje się z kością, co zapewnia jego stabilność. Po zakończeniu procesu gojenia następuje montaż korony protetycznej na implancie, co kończy cały proces leczenia.
Czy implanty zębów w Lublinie są bezpieczne i skuteczne
Bezpieczeństwo i skuteczność implantów zębów w Lublinie to kwestie, które interesują wiele osób rozważających tę formę leczenia. Współczesna stomatologia dysponuje zaawansowanymi technologiami oraz materiałami wysokiej jakości, co znacząco zwiększa bezpieczeństwo zabiegów związanych z wszczepieniem implantów. Tytan używany do produkcji implantów jest biokompatybilny, co oznacza, że organizm ludzki dobrze go toleruje i nie wywołuje reakcji alergicznych. Ponadto procedury przeprowadzane są przez wykwalifikowanych specjalistów, którzy posiadają doświadczenie oraz odpowiednie certyfikaty. Skuteczność implantów jest potwierdzona przez liczne badania kliniczne oraz opinie pacjentów. Właściwie przeprowadzony zabieg oraz odpowiednia pielęgnacja po jego zakończeniu mogą zapewnić długotrwałe efekty i satysfakcję pacjentów.
Jak dbać o implanty zębów w Lublinie po ich założeniu
Dbanie o implanty zębów w Lublinie po ich założeniu jest kluczowym elementem zapewniającym ich długowieczność oraz zdrowie jamy ustnej. Po zakończeniu procesu leczenia pacjenci powinni stosować się do zaleceń lekarza dotyczących higieny jamy ustnej. Regularne szczotkowanie zębów przynajmniej dwa razy dziennie oraz używanie nici dentystycznej to podstawowe zasady dbania o zdrowe dziąsła i otaczające tkanki. Ważne jest również unikanie twardych pokarmów oraz nadmiernego obciążania implantu w początkowym okresie gojenia. Pacjenci powinni także regularnie odwiedzać swojego dentystę na kontrole oraz profesjonalne czyszczenie zębów, co pozwoli na wykrycie ewentualnych problemów we wczesnym stadium. Dodatkowo warto zwrócić uwagę na zdrową dietę bogatą w witaminy i minerały wspierające zdrowie kości i dziąseł.
Jakie są najczęstsze pytania dotyczące implantów zębów w Lublinie
Wiele osób, które rozważają wszczepienie implantów zębów w Lublinie, ma liczne pytania i wątpliwości dotyczące tego zabiegu. Jednym z najczęściej zadawanych pytań jest to, jak długo trwa cały proces leczenia. Czas potrzebny na wszczepienie implantu oraz jego integrację z kością może się różnić w zależności od indywidualnych warunków pacjenta, ale zazwyczaj wynosi od kilku miesięcy do roku. Kolejnym istotnym zagadnieniem jest kwestia bólu i dyskomfortu podczas zabiegu. Współczesna stomatologia stosuje znieczulenia lokalne oraz sedację, co sprawia, że większość pacjentów nie odczuwa bólu podczas wszczepienia implantu. Inne pytanie dotyczy kosztów związanych z implantami – ceny mogą się różnić w zależności od wybranego gabinetu oraz zastosowanych materiałów, ale warto pamiętać, że inwestycja w zdrowe zęby przynosi długoterminowe korzyści. Pacjenci często zastanawiają się również nad trwałością implantów – przy odpowiedniej pielęgnacji i regularnych wizytach kontrolnych mogą one służyć przez wiele lat, a nawet całe życie.
Jakie są alternatywy dla implantów zębów w Lublinie
Choć implanty zębów w Lublinie są coraz bardziej popularnym rozwiązaniem, istnieją również alternatywy, które mogą być odpowiednie dla niektórych pacjentów. Jednym z najczęściej wybieranych rozwiązań są mosty protetyczne, które pozwalają na uzupełnienie brakujących zębów poprzez zamocowanie ich na zdrowych zębach sąsiadujących. Mosty są tańszą opcją niż implanty, ale wymagają szlifowania zdrowych zębów, co może prowadzić do ich osłabienia. Inną alternatywą są protezy ruchome, które mogą być stosowane zarówno częściowo, jak i całkowicie. Protezy są mniej inwazyjne i łatwiejsze do usunięcia, ale mogą być mniej komfortowe i stabilne w porównaniu do implantów. Warto również wspomnieć o metodzie odbudowy kości, która może być konieczna przed wszczepieniem implantu u pacjentów z utratą kości.
Jakie są opinie pacjentów o implantach zębów w Lublinie
Opinie pacjentów na temat implantów zębów w Lublinie są zazwyczaj pozytywne i pełne uznania dla tej formy leczenia. Osoby, które zdecydowały się na wszczepienie implantów często podkreślają znaczną poprawę jakości życia po zakończeniu procesu leczenia. Wiele osób zauważa, że dzięki implantom odzyskało pewność siebie oraz komfort podczas jedzenia i mówienia. Pacjenci chwalą również estetykę implantów, które wyglądają jak naturalne zęby i nie różnią się od reszty uzębienia. Warto zwrócić uwagę na opinie dotyczące samego procesu leczenia – wiele osób zaznacza profesjonalizm lekarzy oraz komfortowe warunki panujące w gabinetach stomatologicznych w Lublinie. Niektórzy pacjenci dzielą się swoimi doświadczeniami związanymi z okresem gojenia oraz pielęgnacji po zabiegu, wskazując na znaczenie przestrzegania zaleceń lekarza dla osiągnięcia najlepszych efektów.
Jak wybrać odpowiedni gabinet stomatologiczny w Lublinie
Wybór odpowiedniego gabinetu stomatologicznego w Lublinie to kluczowy krok dla osób planujących wszczepienie implantów zębów. Istotne jest, aby zwrócić uwagę na doświadczenie lekarzy oraz ich kwalifikacje – warto poszukać informacji o specjalistach zajmujących się implantologią oraz ich certyfikatach. Rekomendacje znajomych lub rodziny mogą być cennym źródłem informacji o dobrych gabinetach stomatologicznych. Kolejnym ważnym aspektem jest wyposażenie gabinetu – nowoczesny sprzęt oraz technologie stosowane podczas zabiegów mogą znacząco wpłynąć na jakość usług oraz komfort pacjentów. Dobrym pomysłem jest również umówić się na konsultację przed podjęciem decyzji – pozwoli to ocenić atmosferę panującą w gabinecie oraz podejście personelu do pacjentów. Warto także zwrócić uwagę na dostępność usług dodatkowych, takich jak diagnostyka obrazowa czy możliwość finansowania zabiegów.
Jak przygotować się do zabiegu wszczepienia implantów zębów w Lublinie
Przygotowanie do zabiegu wszczepienia implantów zębów w Lublinie jest kluczowym etapem, który wpływa na przebieg całego procesu leczenia oraz jego efekty. Przed przystąpieniem do zabiegu pacjent powinien odbyć szczegółową konsultację ze swoim stomatologiem, podczas której lekarz oceni stan zdrowia jamy ustnej oraz przeprowadzi niezbędne badania diagnostyczne. Ważne jest również omówienie historii medycznej pacjenta oraz ewentualnych schorzeń, które mogą wpłynąć na przebieg zabiegu. Na kilka dni przed planowanym terminem warto unikać stosowania leków przeciwzapalnych lub przeciwbólowych bez zalecenia lekarza, ponieważ mogą one wpłynąć na krzepliwość krwi. Pacjenci powinni także zadbać o odpowiednią higienę jamy ustnej przed zabiegiem oraz unikać palenia tytoniu, co może negatywnie wpłynąć na proces gojenia po operacji.
Jak wygląda rehabilitacja po wszczepieniu implantów zębów w Lublinie
Rehabilitacja po wszczepieniu implantów zębów w Lublinie jest istotnym etapem procesu leczenia, który ma na celu zapewnienie prawidłowego gojenia oraz integracji implantu z kością. Po zabiegu pacjent powinien ściśle przestrzegać zaleceń lekarza dotyczących diety oraz higieny jamy ustnej. W pierwszych dniach po operacji zaleca się spożywanie miękkich pokarmów oraz unikanie twardych lub gorących potraw, które mogą podrażnić miejsce wszczepienia. Ważne jest także unikanie intensywnego wysiłku fizycznego przez kilka dni po zabiegu oraz stosowanie zimnych okładów na twarz w celu zmniejszenia obrzęku. Regularne wizyty kontrolne u stomatologa pozwolą monitorować postęp gojenia i wykrywać ewentualne komplikacje we wczesnym stadium. Pacjenci powinni również dbać o codzienną higienę jamy ustnej poprzez delikatne szczotkowanie okolic implantu oraz używanie nici dentystycznej zgodnie z zaleceniami lekarza.





