Implanty stomatologiczne to nowoczesne rozwiązanie, które zyskuje coraz większą popularność wśród pacjentów potrzebujących odbudowy uzębienia. W przeciwieństwie do tradycyjnych protez, które mogą być niewygodne i wymagać częstych regulacji, implanty oferują stabilność i komfort użytkowania. Dzięki temu, że są osadzone w kości szczęki, działają jak naturalne korzenie zębów, co pozwala na zachowanie prawidłowej struktury kostnej. Ponadto, implanty nie wpływają na sąsiednie zęby, co jest istotnym atutem w kontekście długoterminowego zdrowia jamy ustnej. Kolejną zaletą implantów jest ich estetyka – wyglądają i funkcjonują jak naturalne zęby, co znacząco podnosi pewność siebie pacjentów. Warto również zauważyć, że implanty stomatologiczne mają długą żywotność, często przekraczającą 10-15 lat, co czyni je opłacalną inwestycją w zdrowie jamy ustnej.
Jak wygląda proces zakupu i wszczepienia implantów stomatologicznych
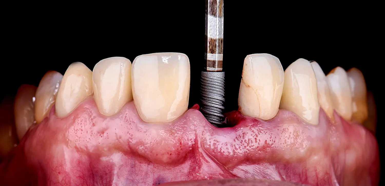
Proces zakupu i wszczepienia implantów stomatologicznych składa się z kilku kluczowych etapów, które mają na celu zapewnienie pacjentowi jak najlepszych efektów końcowych. Na początku odbywa się konsultacja ze specjalistą, podczas której lekarz ocenia stan zdrowia jamy ustnej oraz wykonuje niezbędne badania diagnostyczne. Na podstawie tych informacji opracowywany jest indywidualny plan leczenia, który uwzględnia potrzeby pacjenta oraz specyfikę jego przypadku. Następnie następuje etap wszczepienia implantu, który polega na umieszczeniu tytanowego wszczepu w kości szczęki. Po tym zabiegu konieczny jest czas gojenia, który może trwać od kilku tygodni do kilku miesięcy. W tym czasie implant integruje się z kością, co jest kluczowe dla jego stabilności. Po zakończeniu procesu gojenia można przystąpić do wykonania korony protetycznej, która zostanie umieszczona na implancie.
Czy implanty stomatologiczne są odpowiednie dla każdego pacjenta

Decyzja o wszczepieniu implantów stomatologicznych nie zawsze jest prosta i nie każdy pacjent będzie odpowiednim kandydatem do tego typu leczenia. Istnieje szereg czynników zdrowotnych oraz anatomicznych, które mogą wpływać na możliwość przeprowadzenia takiego zabiegu. Przede wszystkim kluczowa jest jakość i ilość kości szczęki – jeśli kość jest zbyt cienka lub osłabiona, może być konieczne przeprowadzenie dodatkowych zabiegów, takich jak augmentacja kości. Ponadto stan zdrowia ogólnego pacjenta ma ogromne znaczenie; osoby cierpiące na choroby przewlekłe lub stosujące leki wpływające na krzepliwość krwi powinny skonsultować się ze specjalistą przed podjęciem decyzji o wszczepieniu implantu. Również nawyki takie jak palenie tytoniu mogą negatywnie wpłynąć na proces gojenia i integracji implantu z kością.
Jakie są koszty związane z implantami stomatologicznymi
Koszty związane z implantami stomatologicznymi mogą się znacznie różnić w zależności od wielu czynników, takich jak lokalizacja gabinetu dentystycznego, doświadczenie lekarza czy rodzaj użytych materiałów. Zazwyczaj cena jednego implantu oscyluje wokół kilku tysięcy złotych, a całkowity koszt leczenia może obejmować dodatkowe procedury takie jak badania diagnostyczne czy wykonanie korony protetycznej. Warto również pamiętać o ewentualnych kosztach związanych z przygotowaniem do zabiegu, takich jak augmentacja kości czy leczenie chorób przyzębia. Wiele klinik oferuje różne formy finansowania lub płatności ratalnych, co może ułatwić dostęp do tego typu usług dla pacjentów. Należy także zwrócić uwagę na to, że choć początkowy koszt może wydawać się wysoki, to długoterminowe korzyści związane z trwałością i funkcjonalnością implantów mogą sprawić, że będą one opłacalną inwestycją w zdrowie jamy ustnej.
Jakie są najczęstsze powikłania po wszczepieniu implantów stomatologicznych
Jak w przypadku każdego zabiegu chirurgicznego, również wszczepienie implantów stomatologicznych może wiązać się z ryzykiem powikłań. Najczęściej występującym problemem jest infekcja w miejscu wszczepienia, która może prowadzić do niepowodzenia całego zabiegu. Z tego powodu niezwykle istotne jest przestrzeganie zasad higieny jamy ustnej oraz stosowanie się do zaleceń lekarza po operacji. Innym możliwym powikłaniem jest brak integracji implantu z kością, co oznacza, że implant nie łączy się prawidłowo z tkanką kostną. Może to być spowodowane różnymi czynnikami, takimi jak niewłaściwe przygotowanie miejsca wszczepienia, zbyt duża siła żucia czy palenie tytoniu. W rzadkich przypadkach mogą wystąpić również problemy z nerwami lub naczyniami krwionośnymi, co może prowadzić do bólu, drętwienia lub krwawienia. Dlatego tak ważne jest, aby pacjenci byli świadomi potencjalnych zagrożeń oraz regularnie kontrolowali stan swoich implantów u dentysty.
Jak dbać o implanty stomatologiczne po ich wszczepieniu
Prawidłowa pielęgnacja implantów stomatologicznych jest kluczowa dla ich długowieczności i zdrowia jamy ustnej. Po zabiegu pacjenci powinni szczególnie zwrócić uwagę na higienę jamy ustnej, aby zapobiec infekcjom oraz innym powikłaniom. Zaleca się regularne szczotkowanie zębów co najmniej dwa razy dziennie oraz stosowanie nici dentystycznej do czyszczenia przestrzeni międzyzębowych. Warto również rozważyć użycie płynów do płukania jamy ustnej, które mogą pomóc w eliminacji bakterii i wspierać gojenie. Należy unikać twardych pokarmów oraz nadmiernego obciążania implantu w pierwszych tygodniach po zabiegu, aby dać czas na właściwą integrację z kością. Regularne wizyty kontrolne u dentysty są również niezwykle istotne; lekarz będzie mógł monitorować stan implantu oraz przeprowadzać ewentualne zabiegi konserwacyjne.
Jakie są różnice między różnymi rodzajami implantów stomatologicznych
Na rynku dostępnych jest wiele różnych rodzajów implantów stomatologicznych, które różnią się materiałem wykonania, kształtem oraz technologią produkcji. Najpopularniejsze są implanty tytanowe, które charakteryzują się wysoką biokompatybilnością i odpornością na korozję. Tytan jest materiałem uznawanym za standard w implantologii ze względu na swoje właściwości fizyczne i chemiczne. Oprócz tytanu istnieją również implanty ceramiczne, które są bardziej estetyczne i mogą być lepszym wyborem dla pacjentów z alergiami na metale. Różnice dotyczą także kształtu implantu; niektóre mają formę cylindryczną, inne stożkową, co wpływa na sposób ich osadzania w kości oraz stabilność. Wybór odpowiedniego rodzaju implantu powinien być dostosowany do indywidualnych potrzeb pacjenta oraz warunków anatomicznych jego jamy ustnej.
Jakie są opinie pacjentów na temat implantów stomatologicznych
Opinie pacjentów na temat implantów stomatologicznych są zazwyczaj pozytywne, a wiele osób podkreśla znaczną poprawę jakości życia po ich wszczepieniu. Pacjenci często wskazują na komfort użytkowania oraz naturalny wygląd implantu jako główne zalety tego rozwiązania. Dzięki implantom wiele osób odzyskuje pewność siebie i swobodę w jedzeniu oraz mówieniu, co ma ogromny wpływ na ich codzienne życie społeczne i zawodowe. Niektórzy pacjenci zauważają jednak pewne niedogodności związane z procesem leczenia, takie jak ból czy dyskomfort po zabiegu, ale większość z nich uważa te odczucia za normalną część procesu gojenia. Ważnym aspektem jest także koszt leczenia; niektórzy pacjenci wskazują na wysoką cenę jako barierę przed podjęciem decyzji o wszczepieniu implantu. Mimo to wielu z nich twierdzi, że inwestycja ta była opłacalna i przyniosła im długotrwałe korzyści zdrowotne oraz estetyczne.
Jakie nowinki technologiczne pojawiają się w dziedzinie implantologii
Implantologia to dziedzina medycyny stomatologicznej, która dynamicznie się rozwija dzięki postępom technologicznym i badaniom naukowym. W ostatnich latach pojawiło się wiele innowacyjnych rozwiązań mających na celu poprawę skuteczności leczenia oraz komfortu pacjentów. Jednym z takich osiągnięć jest zastosowanie technologii cyfrowych w planowaniu zabiegów; dzięki skanom 3D lekarze mogą dokładniej ocenić anatomię jamy ustnej pacjenta i precyzyjnie zaplanować umiejscowienie implantu. Dodatkowo rozwijają się materiały wykorzystywane do produkcji implantów – nowe stopy tytanu czy ceramiki bioaktywnych pozwalają na jeszcze lepszą integrację z kością oraz zmniejszenie ryzyka powikłań. Warto również wspomnieć o technologiach regeneracyjnych, takich jak terapia komórkowa czy inżynieria tkankowa, które mogą wspierać proces gojenia i odbudowy tkanek wokół implantu.
Jak wybrać odpowiedniego specjalistę do wszczepienia implantów stomatologicznych
Wybór odpowiedniego specjalisty do wszczepienia implantów stomatologicznych jest kluczowy dla sukcesu całego zabiegu oraz satysfakcji pacjenta. Przede wszystkim warto zwrócić uwagę na doświadczenie lekarza – im więcej przeprowadzonych zabiegów tym większa szansa na pozytywny wynik leczenia. Dobrym pomysłem jest także sprawdzenie kwalifikacji specjalisty; lekarze posiadający dodatkowe certyfikaty lub ukończone kursy z zakresu implantologii mogą mieć lepsze przygotowanie do przeprowadzania takich procedur. Rekomendacje znajomych lub opinie innych pacjentów mogą być również pomocne przy wyborze odpowiedniego gabinetu dentystycznego. Ważnym aspektem jest także atmosfera panująca w klinice; komfort psychiczny pacjenta ma duże znaczenie podczas całego procesu leczenia. Należy również zwrócić uwagę na dostępność nowoczesnych technologii diagnostycznych i leczniczych w danej placówce; im bardziej zaawansowane urządzenia tym większa szansa na dokładną diagnozę i skuteczne leczenie.





